Es el proceso...
que busca atenuar el color de tus dientes para que se acerquen al blanco. Generalmente, el blanqueamiento dental se efectúa con peróxido de hidrógeno o peróxido de carbamida, compuestos que se desintegran al entrar en contacto con los dientes, resultando en una limpieza profunda de los mismos.
Felicidad
Asombro
Confianza
Salud dental
Ventajas del blanqueamiento dental phillips zoom
Mejora tu apariencia
En Advanced Dental & Medical Clinic, tu Clinica Dental en Barcelona, contamos con el mejor tratamiento de blanqueamiento dental que hay hoy en el mercado, Phillips Zoom! donde el paciente obtendrá dientes más blancos y atractivos, lo cual transmite una impresión de limpieza y excelente higiene.
Aumenta tu autoestima
Para aquellos que se resisten a sonreír por sentir vergüenza, un blanqueamiento dental puede ayudarles a superar la timidez y a fortalecer la confianza en su propia imagen.
Tratamiento indoloro y efectivo
Este tratamiento no perjudica los dientes y, además, sus resultados son instantáneos. Puede haber sencibilidad.
45 minutos, resultados excelentes.
¿Realmente funciona el blanqueamiento dental?
Sí, siempre y cuando tu situación lo permita y se ejecute de manera correcta. En otras palabras, si tu esmalte es apto para el tratamiento con peróxido, tus encías están seguras, el producto utilizado es de alta calidad, y un profesional competente lo aplica utilizando la técnica y materiales apropiados, el blanqueamiento dental logrará aclarar el color de tus dientes.
Tipos de blanqueamiento dental
Blanqueamiento interno
Se llevan a cabo a través de la absorción del producto desde el interior de la cámara pulpar, donde el peróxido se libera a través de un orificio que el odontólogo practica en la corona del diente. Este método de blanqueamiento se asocia comúnmente con dientes desvitalizados (aquellos que han recibido tratamiento de endodoncia).
Blanqueamiento externo
Son los más comunes. Los blanqueamientos externos más utilizados y efectivos son aquellos que emplean peróxido de hidrógeno (con una concentración aproximada del 40%) y son potenciados con luz láser o LED para agilizar el procedimiento. Otra opción son las férulas con peróxido de carbamida, que se usan en casa durante 15 días, por 4-8 horas diarias.
¿Se puede hacer vida normal?
¿Cuánto tiempo dura su efecto?
El blanqueamiento dental Phillips Zoom, que llevamos a cavo en Advanced Dental & Medical Clinic, tu clinica dental en Barcelona, España, cionfirmamos que con una higiene bucal correcta, el tono blanco alcanzado puede mantenerse durante un par de años, aunque en algunos casos puede durar aún más. De hecho, tras un blanqueamiento dental profesional, es común realizar sesiones de mantenimiento anuales, simples y económicas, para prolongar el blanco de los dientes.
¿Es doloroso?
Usualmente no debería haber problema, pero si tienes dientes particularmente sensibles, podrías experimentar cierta sensibilidad al frío o al calor debido al efecto del peróxido en el interior de tus dientes. Sin embargo, esta sensibilidad suele durar solo el tiempo que dura el tratamiento. Por eso, en situaciones donde el esmalte de los dientes es extremadamente poroso, el blanqueamiento dental no se recomienda.
¿Puede dañar los dientes?
Fases del blanqueamiento dental LED
Higiene supra-gingival...
con pasta fluorizada: antes de cada sesión, realizaremos una limpieza dental para esmalte libre de residuos.
Separador de labios...
para preparar de forma óptima la zona de tratamiento y asegurar la aplicación adecuada del producto blanqueador.
Prepararemos la zona...
para aplicar el peróxido, utilizando un protector para las encías, para evitar el contacto del producto con la línea gingival.
Se aplicará el peróxido....
de hidrógeno en el esmalte de las superficies frontales de los dientes y se deja actuar durante 15 a 20 minutos.
Luego...
aceleramos el proceso de oxigenación con el uso de una lámpara de foto-polimerización de LEDs.
Finalmente...
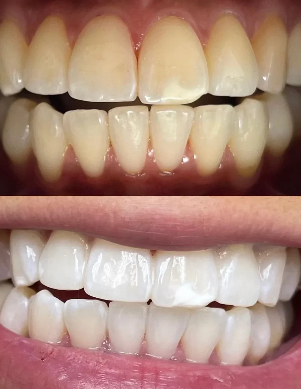
retiramos el producto y finaliza la sesión. Dejándote un antes y después como uno de los que verás a continuación.
*El paciente ha dado su consentimiento para la publicación de este caso.
El blanqueamiento dental de Advanced dental & medical clinic
El blanqueamiento dental estándar en Advanced Dental & Medical Clinic es el Phillips Zoom! que utiliza peróxido de hidrógeno de alta calidad y se activa con una lampara ZOOM de Arco de Plasma – Laser. La cantidad de sesiones necesarias normalmente son 3 de 15 minutos, una seguida de otra, dando un total de 45 minutos y dependerá del color actual de tus dientes el resultado final; realizaremos tantas como sean necesarias hasta lograr el tono que consideremos alcanzable.
¿Cuánto cuesta nuestro blanqueamiento dental?
En Advanced, ofrecemos un blanqueamiento dental combinado para conseguir un resultado duradero y muy eficaz con un precio competitivo: Comenzando en 480 €. Incluye todo, o sea, las higienes dentales previas a cada sesión, los materiales (siempre de 1ª calidad) y el procedimiento en sí.
¿Te quedan dudas?
Preguntas frecuentes sobre blanqueamiento dental
A continuación, te ofrecemos la respuesta a las preguntas que más nos hacen nuestros pacientes:
¿Qúe cosas debo evitar durante el blanqueamiento dental?
Es recomendable evitar ciertos hábitos como el uso de pastas que contienen clorhexidina, dentífricos blanqueadores, alimentos con colores intensos y el consumo de tabaco.
¿Cada cuánto tiempo puedo hacerme un blanqueamiento dental?
La sugerencia general es esperar al menos 2 años, aunque existen situaciones en las que se llevan a cabo de manera anual.
¿Puedo hacerme un blanqueamiento dental?
Si tienes más de 18 años y no hay ninguna contraindicación (como presencia de caries o enfermedad periodontal), es posible realizar un blanqueamiento.
¿Cuánto dura un blanqueamiento dental?
Siempre que se lleven a cabo unas rigurosas pautas de higiene dental, puede durar toda la vida.
Me decidí por esta clínica para tratarme un problema con mis encías y dientes desgastados. Me hicieron un diagnóstico completo y personalizado y tambien me trataron la retracción d e encías. Además, me, aplicaron ácido hialurónico en el perfilado labial y el resultado fue sutil pero impactante, me siento renovada. Súper recomendable si buscas una clínica donde te escuchen y te cuiden de verdad 👌😊Publicado en Valeria Santamaria La clínica es moderna y limpia, con tecnología avanzada, precios justosPublicado en OUO Me gustó mucho la atención personalizada que recibí, los doctores se tomaron el tiempo para responder todas mis dudas y se notaba que les importa realmente la salud de sus pacientes. El trato fue muy humano y cercano, algo que no siempre encuentras en las clínicas dentales, recomendado 100%. 👍Publicado en Fernanda Luna Palacios Excelente atención, vine por una limpieza y terminé agendando varios tratamientos más. Da confianza desde el primer momento!! 😁Publicado en Diana Estoy feliz con el tratamiento que estoy haciendo para mi bruxismo, la placa de relajación me cambió la vida. Desde la primera semana noté que dormía mejor y ya no apretaba los dientes, gracias al equipo por su atención tan cercanaPublicado en Monserrat Romero La atención fue muy buena, y el trato excepcional desde que llegué hasta que salí, muy profesional y agradable la chica que me hizo el tratamiento además. Todos se mostraron muy atentos, volveré pronto, super recomendables! GraciasPublicado en Yanelis 2B Excelente atención, muy amables y hacen un excelente trabajo, muy cuidadosa y detallista. Super recomiendo.Publicado en maria fraysse Conocí esta clínica por redes sociales y me animé a pedir cita, primero hice limpieza dental profunda, y luego me cambiaron varios empastes antiguos por otros más estéticos y todo expectacular!! Más adelante quiero empezar con carillas, pero por ahora estoy feliz con todo lo hechoPublicado en Vicky Gómez Cortázar I highly recommend their cleaning and teeth whitening!Publicado en Ivan Ferreti Estaba de vacaciones en Barcelona cuando me empezó a doler una muela, busqué clínica de urgencia y encontré esta. Me atendieron enseguida, me hicieron una extracción sin dolor y me explicaron todo el postoperatorio, muy profesional y humano el trato🤩🤩🙏Publicado en Valeria Damian hernandez